Qualität und Präzision durch einen erfahrenen Partner

Wir stellen hier einige unserer Arbeiten für unsere Kunden zur Verfügung. Machen Sie sich selbst ein Bild von unserer Arbeit.

Teleskopierende Prothesen
nach Protokoll OA . Dr. Paul Weigl

Nach der Implantation und Einheilphase erfolgte die Freilegung mit anschließender Abformung und Bißnahme. Die Anfertigung der Teleskopprothesen nach dem Protokoll nach OA Dr. Paul Weigl Universität Frankfurt am Main ist einer Vorgehensweise, die einen absolut spannungsfreien Sitz der Restauration im Mund des Patienten garantiert.

Nach dem Einzementieren der Primärkronen und Einschrauben der Abutments wurde die Tertiärkonstruktion aus NEM im Mund mit der Sekundarkonstruktion spannungsfrei verklebt. Für die Überbrückungsphase bis zur Fertigstellung der definitiven Restauration erhält der Patient eine sogenannte vollwertige „Reiseprothese“, die ihm nach der Eingliederung der definitiven Arbeit weiterhin zur Verfügung steht.

  • OK und UK Prothesen in progener Bißlage
  • OK Prothese auf Modell
  • OK und UK Prothesen
  • UK Prothese auf Modell
  • Wachsaufstellung in Artikulation
  • In Kunststoff umgesetzte Aufstellung
  • OK Primärkronen auf Modell
  • OK und UK Prothesen in Artikulation
  • OK Primär und Sekundär
  • UK Primär und Sekundär
  • OK Tertiär vor der Verklebung
  • Reiseprothesen
  • UK Tertiär vor der Verklebung
  • Implantat Einsetzschlüssel
  • Transluzenz der OK Keramikzähne
  • OK Front mit dezenter Zahnfleisch-individualisierung
  • Fertige Arbeit in Artikulation
  • Fertige in progener Okklusion
Seite nach oben

Non Prep Veneers

Die 26-jährige Patientin wies eine Nichtanlage der oberen seitlichen Schneidezähne und eine Rotation des Zahnes 24 um 45° nach distal auf. Der Wunsch der Patientin war die Idealisierung der Oberkiefer Front. Durch Non Prep Veneers konnten wir die Lücken in der Front schließen, die Eckzähne zu seitlichen Schneidezähne und die ersten Prämolaren zu Eckzähnen umgestalten.

  • Ausgangssituation
  • Non Prep Veneers in Situ
  • Ausgangssituation beim Behandler
  • Techniker beim Schichten mit der Keramikmasse
  • Veneers nach der Verklebung beim Behandler
  • Modell mit feuerfesten Stümpfen
  • Individuelle Frontzahnschichtung
  • Feucht halten der feuerfesten Stümpfe
  • Auftragen der Keramikmasse
  • Meistermodell nach Adhäsivbrand mit Clear
Seite nach oben

Frontzahn Implantatkrone

Bei der Freilegung zeigte sich, dass das Implantat im Vergleich zum Restzahnbestand um 45° Abweichung hatte. Um erstmal diese Diskrepanz auszugleichen wurde ein individuelles Abutment konstruiert aus Titan, welches eine optimale Ausgangssituation bat. Bedingt wegen dem Durchmesser (AstraTech 3,0) des inserierten Implantates, die Angulation und zierliche Konstruktion wurde Titan und kein Zirkon gewählt.

  • Fertige Restauration
  • Meistermodell mit Zahnfleischmaske
  • Individuelles Abutment von facial
  • Individuelles Abutment von incisal
  • Individuelles Abutment und Zirkonkäppchen
  • Visualisierung der Angulation
  • Abutment im Sagitalschnitt
  • Abgewinkeltes Abutment von incisal
  • Zirkonkappe in Artikulation
  • Fertige Krone auf Modell
Seite nach oben

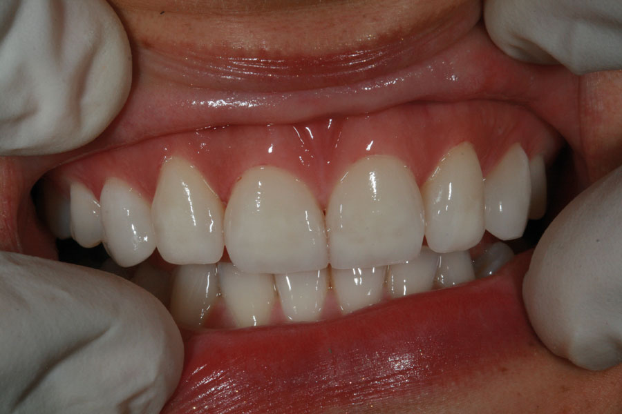
OK Front e.max Kronen

Die Oberkiefer Front musste wegen Füllungen, Verfärbungen und nichtvorhandene Eckzahnführung neu gestaltet werden. Die Unterkiefer Front wurde durch ein Wax up rekonstruiert, das nach der Eingliederung der Oberkiefer Restauration in Non Prep Veneers umgesetzt wurde. Somit konnte eine faciale Ästhetik wieder hergestellt werden.

  • Präparaten von 13 auf 23
  • Veneers nach der Verklebung beim Behandler
  • OK und UK Modelle
  • OK Modellation der mittleren und seitlichen Incisiven
  • Individuelle Schichtung
  • Fertige Restauration auf Zahnfleischmodell
  • Fertige Restauration auf Meistermodell
  • Transluzenz der Veneers
  • Veneers in Artikulation
  • Restauration in Situ
Seite nach oben

Veneers

  • Ausgangssituation
  • Präparation
  • Resultat
Seite nach oben

Dentale Fotografie

Nachfolgende dentale Fotografien durften wir für die Nobel Biocare Services AG erstellen. Von Schaumodellen für Kurse über Handson-Fotos bis hin zu Schulungsfotos.

Seite nach oben
Seite nach oben